中文域名:桓台县妇幼保健院.公益
技术创新
您当前的位置: 首页 > 技术创新

单日成功救治四例急性心梗,最小47岁——桓台妇幼介入超微创实力彰显“硬核”担当

发布时间:2026-04-10 10:47   点击量:31

46日下午,桓台县妇幼保健院急诊科与心内科心脑同治中心团队经历了一场惊心动魄的“接力赛”——在短短数小时内,连续收治四名急性心肌梗死患者。面对病情急、变化快、年龄跨度大、症状表现各异的复杂情况,医院迅速启动胸痛中心绿色通道,多学科紧密协作,成功为全部患者实施急诊介入治疗(PCI),目前四名患者均转危为安。


图片


第一位患者为75岁女性,因胸痛持续5月、近1月加重来院就诊。心电图检查提示ST段压低,冠脉造影显示右冠状动脉存在严重病变。面对高龄、病程长的特点,心内科团队精准评估,成功实施介入治疗,为患者解除了长期的心绞痛困扰。


图片


第二位患者为48岁男性,因胸痛6小时紧急就诊,属于典型的急性ST段抬高型心肌梗死。造影提示其心脏最重要的供血血管——左前降支(LAD)近段急性完全闭塞,情况万分危急。团队立即行紧急再灌注治疗,以最快速度开通闭塞血管,最大程度挽救了心肌、降低了坏死面积,为患者赢得了宝贵的预后改善机会。


图片


第三位患者为74岁男性,因活动后胸闷气短、后背部疼痛,曾在外院就诊,诊断为急性非ST段抬高型心肌梗死。患者高度认可桓台县妇幼保健院心血管诊疗实力,主动要求转入行PCI治疗。术中造影证实,“罪犯血管”同样为左前降支。桓台妇幼心内科医疗团队不负信任,顺利完成介入手术操作。


图片


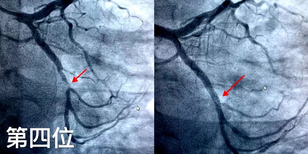
第四位患者为47岁男性,因“颈部不适2小时”来院就诊。这一症状并非典型胸痛,极易被忽视或误诊。但接诊医生保持高度警惕,经快速评估后行冠脉造影,明确为回旋支病变导致的心梗,并成功实施急诊PCI开通血管。


图片


值得特别关注的是,在本次救治的四名患者中,有两名为中青年男性(47岁、48岁)。他们并无长期心脏病史,却突遭急性心梗袭击,发病急、病变重,其中一人重要血管完全闭塞。这为全社会敲响了沉重的警钟——年轻不再是心梗的豁免牌!在吸烟、饮酒、熬夜、过劳等不良生活方式的长期侵蚀下,冠心病和急性心肌梗死的发病年龄正在显著前移。

2019桓台县妇幼保健院成立郑大一附院介入中心桓台分中心。2022年,聘请北京天坛医院李佑祥教授、北京安贞医院张新勇教授为名誉院长,成立“全国首家基层心脑同治中心”,创新推行“心脑同筛、心脑同治”一体化模式,心内科先后通过中国心血管健康联盟基层心衰中心认证、国家级基层胸痛中心认证、高血压达标中心认证,并成功加入国家脑心联盟。2024年,在首届协和心脑大会上,桓台县妇幼保健院作为全国唯一基层医疗机构作交流发言,得到国内外专家的高度评价

桓台县妇幼保健院内二科主任王新征提醒:时间就是生命。如出现胸痛、胸闷、肩背放射痛、颈部不适、出汗恶心等症状,请立即拨打急救电话或前往具备急诊介入能力的医疗机构就诊,争取宝贵的救治时间。